La cicatrisation est un processus physiologique de première importance, car elle permet d’éviter infections et hémorragies. Dans le modèle biomédical...
Tout
Questions-Réponses
Si vous êtes souvent à l’extérieur (et même chez vous), vous avez sûrement constaté à quelle vitesse votre téléphone, tablette,...
En 2013, l’Union Européenne restreint l’utilisation de trois néonicotinoïdes standards dans le cadre des cultures extérieures et, en 2018, abolit complètement leur utilisation. Ces mesures ont notamment été prises pour protéger les populations d’abeilles pollinisatrices des effets toxiques de ces nicotinoïdes, qui contribuent au syndrome d’effondrement des colonies d’abeilles. Mais...
L’amélioration de la fonction cérébrale est essentielle pour contrer les effets du vieillissement. Et selon une étude réalisée par des...
Bien qu’ils soient étudiés depuis de nombreuses années, les rêves n’ont pas encore livré tous leurs secrets aux neuroscientifiques. En...
Selon les sondages, un citoyen français produit, chaque année, au minimum 590 kilos de déchets, dont 30% de biodéchets. En effet, la pollution dans le pays a atteint un niveau très dangereux. Une situation dramatique qui ne doit laisser indifférent personne, car cela a de sérieuses conséquences négatives sur notre...
Au cours des dernières années, de nombreux progrès ont été réalisés concernant la maladie d’Alzheimer. Les neuroscientifiques ont notamment mis...
Nous vous annoncions hier que la biostase, également appelée « animation suspendue », avait été testée sur des patients humains. En tant...
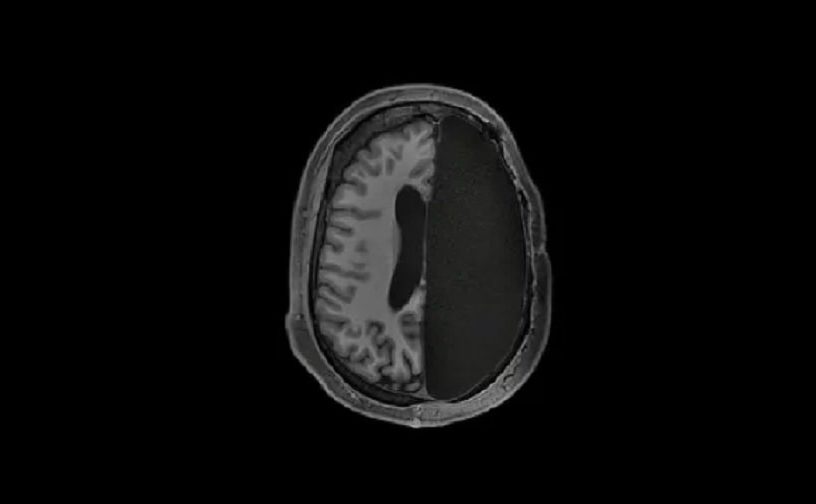
Dans certaines pathologies neurologiques, comme l’épilepsie chronique, le traitement le plus adapté consiste en l’ablation de l’hémisphère cérébral défectueux. Une telle opération est appelée « hémisphérectomie » et est dans la majorité des cas pratiquée durant l’enfance (entre 5 mois et 15 ans). Mais comment ces personnes vivent-elles ensuite avec une moitié...
L’existence et la nature de la conscience font l’objet d’un débat scientifique récent, de nombreuses études en neuropsychiatrie et neurobiologie...
Les neurobiologistes savent depuis de longues années que les activités physiques changent progressivement la structure de certaines zones du cerveau....
Le cerveau possède une organisation structurale particulière, divisée en aires et en segments, où chaque zone remplit une fonction précise. Ainsi, il existe des régions cérébrales liées au langage, à l’odorat, à la vue, aux différents membres, etc. Cette organisation est appelée « carte cérébrale ». Cependant, par exemple, que...













